For the best experience, open
https://m.tarunbharat.com
on your mobile browser.

200 चुंबक गिळाल्याने रुग्णालयात पोहोचला मुलगा

07:00 AM Oct 31, 2025 IST | Tarun Bharat Portal
200 चुंबक गिळाल्याने रुग्णालयात पोहोचला मुलगा
Advertisement

पोटदु:खीने होता त्रस्त

Advertisement

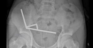
न्युझीलंडमध्ये 13 वर्षीय मुलगा पोटदुखीने त्रस्त होता, जेव्हा तो डॉक्टरकडे गेला, तेव्हा त्याला मागील काही दिवसांमध्ये काय काय खाल्ले असे विचारण्यात आले, यावर या मुलाने चकित करणारे उत्तर दिले. 100 हून अधिक छोटे-छोटे चुंबक गिळल्याचे त्याने सांगितले. डॉक्टरांनी मुलाच्या पोटाचा एक्सरे आणि अन्य तपासणी केली असता त्याच्या आतड्यात छोटे छोटे शेकडो चुंबक अडकल्याचे दिसून शॉपिंग साइट टेमूद्वारे खरेदी करण्यात आले होते.

गिळले होते चुंबक

Advertisement

चुंबक गिळल्यावर त्याच्या पोटात वेदना सुरू झाल्या. चार दिवसांनी पोटदुखी तीव्र झाली, तेव्हा तो डॉक्टरांकडे पोहोचला. त्याला देशातील नॉर्थ आयलँड येथील टौरंगा रुग्णालयात दाखल करण्यात आले. डॉक्टरांना तपासणीत मुलाने 100 अधिक उच्चशक्तीचे चुंबक गिळाल्याचे आढळून आले. जवळपास एक आठवड्यापूर्वी 80-100 छोटे नियोडिमियम चुंबक गिळल्याचे त्याने डॉक्टरांना सांगितले होते. परंतु नंतर डॉक्टरांना त्याच्या आतड्यांमध्ये जवळपास 200 चुंबक मिळाले आहेत.

चुंबकामुळे ईजा

त्याच्या आतड्यांच्या विविध भागांमध्ये चुंबकांच्या चार साखळ्या अडकल्या होत्या, ज्या परस्परांना खेचत होत्या आणि आसपासच्या पेशींमध्ये रक्तप्रवाह रोखत होत्या. दबावामुळे नेक्रोसिसचे अनेक पॅच तयार झाले हेते, यामुळे तातडीने शस्त्रक्रियेची आवश्यकता होती असे डॉक्टरांनी सांगितले. शस्त्रक्रियेत चुंबक आणि हानीग्रस्त आतड्यांच्या काही हिस्स्यांना काढण्यात आले. डडॉक्टर बिनुरा लेकामलोग, लुसिंडा डंकन-वेरे आणि निकोला डेविस यांनी ही शस्त्रक्रिया केली आहे. मुलाला 8 दिवसांनी डिस्चार्ज मिळाला.

घातक परिणाम

चुंबक गिळाल्याने रुग्णांच्या आतड्यांना नुकसान, हर्निया किंवा दीर्घकाळापर्यंत पोटदुखी यासारख्या जटिलतांना सामोरे जावे लागू शकते, असा इशारा डॉक्टरांनी दिला आहे. हे प्रकरण केवळ चुंबक खाण्याच्या धोक्याला समोर आणत नाही, तर मुलांसाठी ऑनलाइन बाजाराच्या धोक्यांनाही निदर्शनास आणते. न्युझीलंडने 2013 साली छोट्या, उच्चशक्तीच्या चुंबकांच्या विक्रीवर बंदी घातली होती, कारण मुलांकडून ते गिळण्यात येत असल्याची अनेक प्रकरणे समोर आली होती.

अंतर्गत हिस्स्यांमध्ये पाडते छिद्र

नियोडिमियम-लोह-बोरॉनने निर्मित हे चुंबक अनेकदा खेळणी किंवा तणावनिवारक म्हणून विकले जातात. सामान्य चुंबकांच्या तुलनेत ते 30 पट अधिक शक्तिशाली असतात आणि गिळाल्यावर ते शक्तिनिशी चिकटत असल्याने आतड्यांच्या आवरणांमध्ये छिद्र पाडू शकतात. बंदीनंतरही हे चुंबक ऑनलाइन व्यापक स्वरुपात उपलब्ध आहेत.

Advertisement
Tags :

.